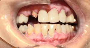
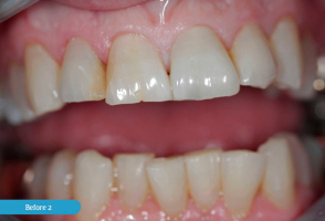
Smile Makeover Gallery
Love Your Smile!
At Johnston Dental Care LLC, we believe that a smile makeover can truly transform your life. Our dedicated team in Grants Pass, OR is committed to providing gentle dental care that not only enhances your smile but also boosts your confidence. With our Smile Gallery, you can witness the incredible transformations achieved by our talented professionals, inspiring you to take the next step towards achieving your dream smile. We understand the importance of informed choices, which is why we strive to educate our patients about the various treatments available to them. From teeth whitening to dental implants, our comprehensive range of services ensures that you can find a solution tailored to your unique needs. Discover the power of a beautiful smile and schedule your appointment today by contacting us at 541-479-6623 or reception@johnstondentalcare.com. At Johnston Dental Care LLC, we are dedicated to providing gentle dental care that gives you results to smile about.
Click on an image below to enlarge
Contact Info
Johnston Dental Care
1825 NW Hawthorne Ave.
Grants Pass, OR 97526
Office Hours
Monday-Thursday
8:00am - 5:00pm
Sunday & Saturday
Closed
























